Teeth Whitening
- Home
- Services
- Teeth Whitening
Teeth Whitening
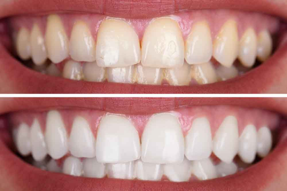
At Vijaya Dental International, we believe that a beautiful smile can boost your confidence and improve your overall quality of life. Our teeth whitening treatments offer effective and safe ways to brighten your smile and restore its natural luster.
Professional Teeth Whitening
Professional teeth whitening treatments performed by our experienced dentists are a safe and effective way to achieve a brighter smile. Unlike over-the-counter whitening products, professional treatments can deliver more dramatic results in a shorter amount of time.
Benefits of Professional Teeth Whitening:
- Faster Results: Professional teeth whitening can significantly brighten your teeth in just a few sessions.
- Customized Treatment: Our dentists can tailor the treatment to your specific needs and goals, ensuring optimal results.
- Long-Lasting Results: With proper care, the results of professional teeth whitening can last for many years.
- Safety: Our dentists use safe and effective whitening agents that are approved by regulatory bodies.
Types of Professional Teeth Whitening
We offer a variety of teeth whitening options to suit your needs and preferences. These include:
- In-Office Whitening: This involves applying a high-concentration whitening agent to your teeth in our office. The procedure typically takes about an hour.
- At-Home Whitening Kits: We can provide you with a custom-made at-home whitening kit that you can use to whiten your teeth at your convenience.
- Combination Treatment: For optimal results, we may recommend a combination of in-office and at-home whitening treatments.
Tips for Maintaining a Whiter Smile
To help maintain your whiter smile, we recommend following these tips:
- Avoid staining substances: Limit your consumption of coffee, tea, red wine, and dark-colored foods and drinks.
- Practice good oral hygiene: Brush your teeth twice a day, floss daily, and see your dentist for regular check-ups.
- Consider a professional cleaning: Regular professional cleanings can help remove surface stains and prevent plaque buildup.
Schedule a Consultation
If you are interested in teeth whitening or have questions about our treatments, please schedule a consultation with one of our dentists. We will be happy to discuss your options and help you achieve the brighter smile you desire.
Contact us
At The Vijaya Dental International we offer the most advanced and
effective bespoke treatment packages to suit your needs
Patient Cases
Check Out Feedback From Our satisfied Customers
![]()
Hemanth Hemi2024-09-20Very good
VISHNU THUNGA2024-09-16Very Good Dental Care, Especially Dr. Lathashree Madam experience matter the most. Came for the second time and had a good experience
SADANANDA S2024-09-16Very nice
yugandraj raj2024-09-16Good experience and good doctor treatment
usha Gs2024-09-14Good doctors very clearly explain the teeth problems personly I like very much I give 5stars to Vijay dental clinic
We Care About your smile
At Vijaya Dental International, we genuinely care about your smile and understand its importance to your overall confidence and well-being. Our dedicated team of dental professionals is committed to providing personalized care and advanced treatments tailored to your individual needs.
get 50% off
On your First Teeth Whitening